症例紹介

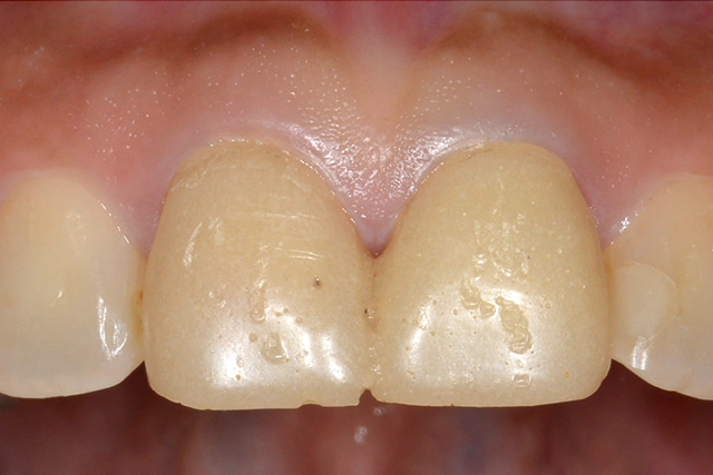
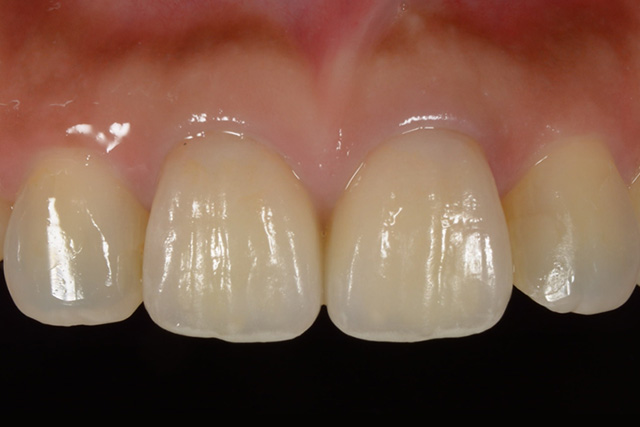
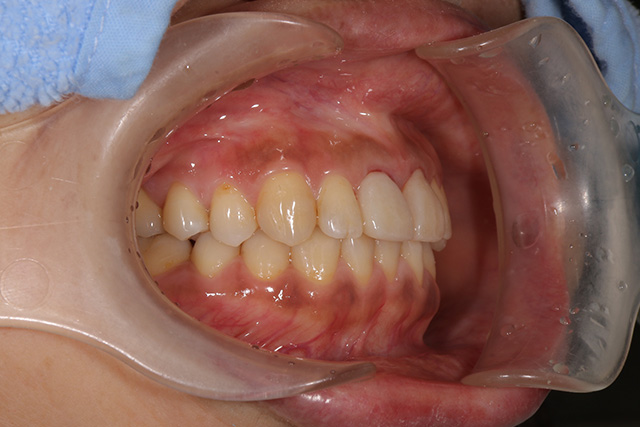
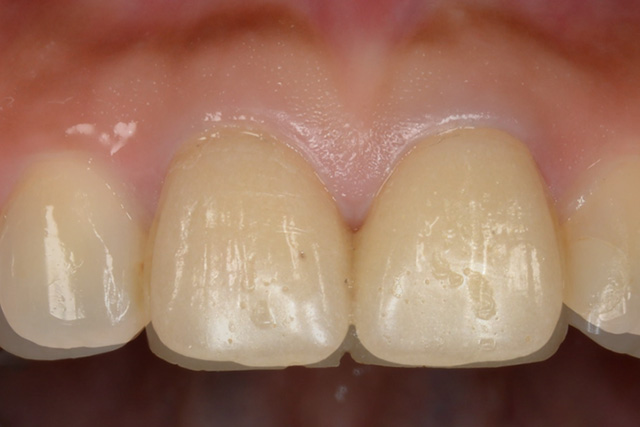
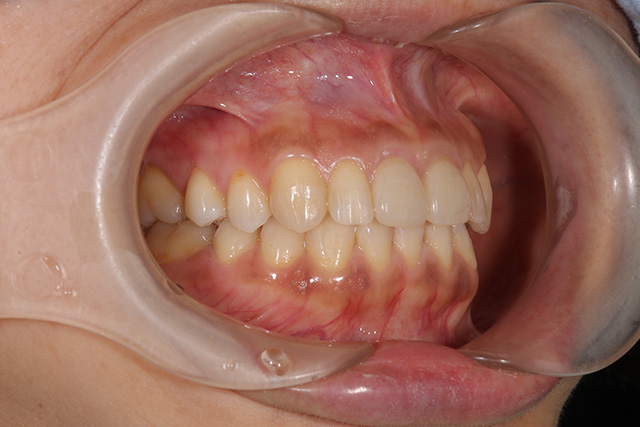
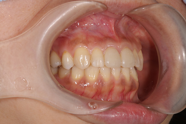
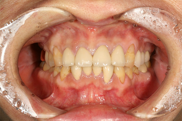
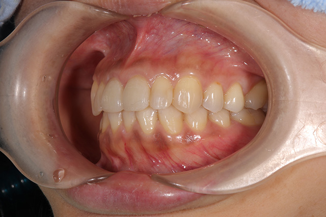
審美症例

審美症例
審美症例
審美症例
審美症例
審美症例
審美症例
審美症例
審美症例
審美症例
審美症例
審美症例
審美症例
審美症例
審美症例
審美症例

機能症例

インプラント治療ができない患者様への接着性ブリッジ

  • このページのトップへ